+918042781400
Currently it only shows your basic business info. Start adding relevant business details such as description, images and products or services to gain your customers attention by using Boost 360 android app / iOS App / web portal.

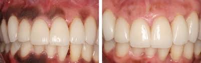
Cosmetic Dentistry In nashik Best Dental Clinic in nashik