+918042781400
Currently it only shows your basic business info. Start adding relevant business details such as description, images and products or services to gain your customers attention by using Boost 360 android app / iOS App / web portal.

Minor Oral SurgeriesSmall surgeries, operations that are carried out by a dentist which may include removing wisdom teeth, impacted teeth, broken teeth, etc. Are known as Minor Oral Surgeries. There are various types of Minor Oral Surgery as show
View Details
Dental RestorationReplacement and restoring of missing teeth or missing part of the tooth is the dental restoration. There are 2 types of Restoration: Direct & amp; Indirect. In a single visit, instant filling of tooth cavity is done in Direct too
View Details
ALL Type of Dental treatments in nashik
View Details
Crowns(caps)A dental crown or cap that covers the entire tooth that helps to restore the shape, size, appearance, and functionality of a tooth. Need for a dental crown: To restore broken, fractured, or decayed toothTo have a cosmetic enhancem
View Details
Root canal treatmentYour teeth have roots and inside your teeth, there are a number of blood or nerve is placed under the outer layer of enamel known as pulp or dental pulp. Pulp is situated inside a space known as pulp chamber which extends downw
View Details
Best Dental Clinic In nashikVisit us on https://www.bestdentistinnashik.com
View Details
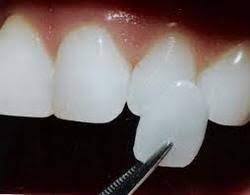
Dental veneers are also known as porcelain laminates or porcelain veneers which are wafer-thin, the custom-made dental ceramic shell is bonded together to cover the front surface of teeth. This treatment is done to improve the appearance of your t
View Details
Pit and Fissure SealantsPit and Fissure SealantsPit and Fissure sealants are also known as Dental sealants or fissure sealants are done for preventing your teeth from tooth decay. Sealands are applied to the back teeth - the molars and premolars w
View Details